除颤失败,家属已在痛哭,他们仍坚持抢救!几分钟后奇迹发生!

  [复制链接]

该用户从未签到

分享到:
发表于 2022-8-24 10:00 | 显示全部楼层 |阅读模式

马上注册荣耀渭南网,结交渭南乡党,享用更多功能,让你轻松玩转荣耀网

您需要 登录 才可以下载或查看,没有账号?立即注册 |

x
近日,江苏淮安
一位女士因胸痛送医
途中突发心跳呼吸骤停
多次电除颤,仍没有好转
家属绝望地抱头痛哭
医护们却意见一致:继续抢救
几分钟后,奇迹终于发生!

8月15日下午
淮安51岁的郑女士出现胸痛
由于疼痛不明显
她并没有放在心上
直到第二天胸痛症状加重
郑女士才在家人陪同下
来到社区卫生服务中心寻求治疗

100143ipnpkag88kkars1p.png

社区卫生服务中心的医生
给予郑女士速效救心丸口服
无法缓解症状
患者情况比较严重
家属拨打120,转运到上级医院
然而,快到医院的时候
郑女士突然昏迷、心跳呼吸停止
心电监护提示室颤
随车医护人员立即心肺复苏
并紧急联系急诊科、心血管病科
做好抢救准备


中午11点29分
救护车抵达淮安市中医院
确诊郑女士为急性心肌梗死
医护人员很快组成6人抢救小组
争分夺秒进行抢救
包括不间断的胸外按压、电除颤
呼吸机的辅助呼吸、气管插管
但是时间过去30分钟左右
患者还是室颤的状态

100144h2itpot64t24og4d.png

中午12点整
第5次电除颤失败
家属忍不住在抢救室外抱头痛哭
参与抢救的医护们却意见一致
继续抢救!决不能现在放弃!

大家坚持不停地
按压、用药、除颤……
12时05分,第6次电除颤
“有心跳了!”
因持续徒手心脏按压而满头大汗的
护士长马丽婷
高兴地喊了起来
12时22分,患者再次发生室颤
医护不敢松懈,继续抢救
12时23分,第7次电除颤
患者再次恢复窦性心律

100145bg0ww7w1nrwssnxh.gif

12点36分
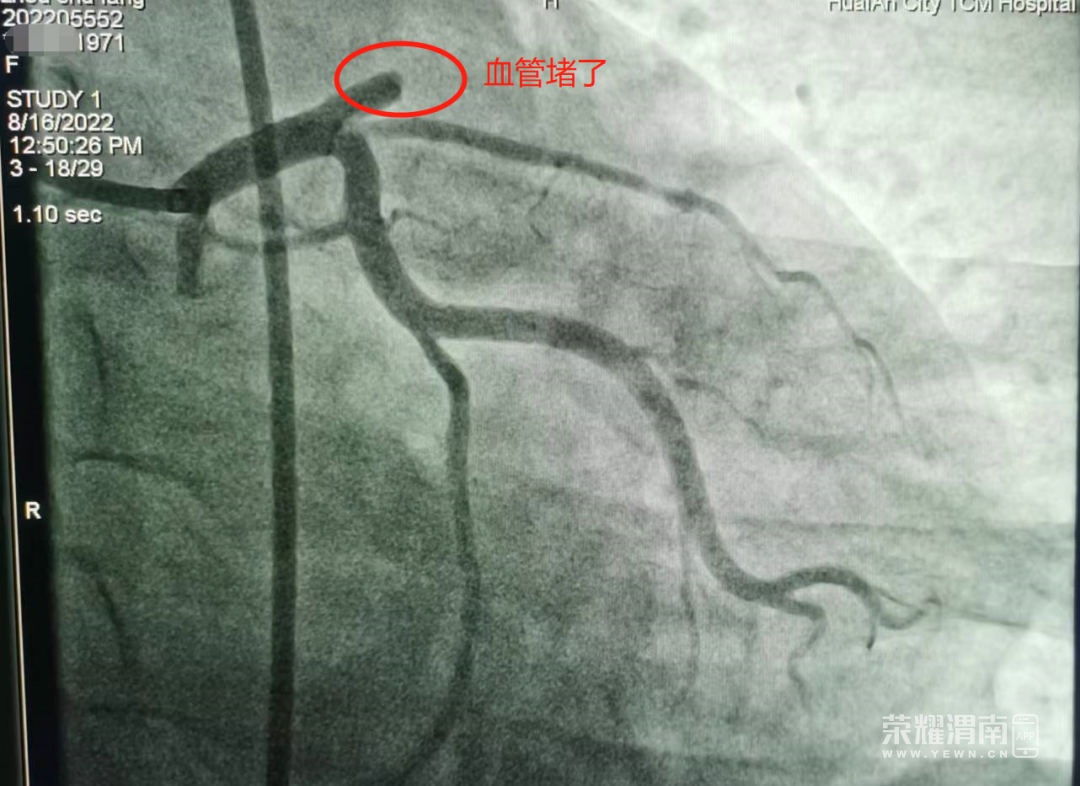
患者被送进DSA导管室
医生为患者进行心脏冠脉造影
发现患者心脏左前降支
已完全闭塞
随即进行介入溶栓治疗
并植入心脏支架
患者最终转危为安

100146qfygsywgzpxdyagu.jpeg

淮安市中医院急诊科
副主任卢伟伟说
“到第40分钟左右
患者恢复了窦性心律
我们所有医务人员
一身的疲惫瞬间被冲淡
都很高兴
这一瞬间的快乐
是我们身上救死扶伤职责的意义

100146k3313uowh3f3q0fq.png


医者仁心
感谢所有医护人员

为你们点赞!



来源:江苏新闻(ID:jstvjsxw)、淮安台(孙杰),综合淮安市中医院

荣耀渭南网---每天我们都在影响这座城市!

签到天数: 29 天

[LV.4]偶尔看看III

发表于 2022-8-24 10:31 手机版 | 显示全部楼层
荣耀渭南网---每天我们都在影响这座城市!

签到天数: 1409 天

[LV.10]以坛为家III

发表于 2022-8-24 14:51 手机版 | 显示全部楼层
给白衣天使点赞
荣耀渭南网---每天我们都在影响这座城市!

签到天数: 993 天

[LV.10]以坛为家III

发表于 2022-8-24 15:06 手机版 | 显示全部楼层
医者仁心
感谢所有医护人员
为你们点赞!
荣耀渭南网---每天我们都在影响这座城市!

该用户从未签到

发表于 2022-8-24 23:14 | 显示全部楼层
这就是我们的白衣天使,只要有一线希望决不放弃,为他们点赞
荣耀渭南网---每天我们都在影响这座城市!

该用户从未签到

发表于 2022-8-24 23:16 | 显示全部楼层
“白衣天使”用行动践行“救死扶伤”的使命,不到最后决不放弃
荣耀渭南网---每天我们都在影响这座城市!

该用户从未签到

发表于 2022-8-24 10:32 手机版 | 显示全部楼层
不愧是白衣天使!
荣耀渭南网---每天我们都在影响这座城市!

该用户从未签到

发表于 2022-8-24 10:33 手机版 | 显示全部楼层
真正的救死扶伤。
荣耀渭南网---每天我们都在影响这座城市!

签到天数: 15 天

[LV.4]偶尔看看III

发表于 2022-8-24 11:01 手机版 | 显示全部楼层
真正的救死扶伤。
荣耀渭南网---每天我们都在影响这座城市!

该用户从未签到

发表于 2022-8-24 11:11 手机版 | 显示全部楼层
辛苦医生了,真的是白衣天使,尤其是疫情期间
荣耀渭南网---每天我们都在影响这座城市!

签到天数: 3 天

[LV.2]偶尔看看I

发表于 2022-8-24 12:31 手机版 | 显示全部楼层
荣耀渭南网---每天我们都在影响这座城市!

该用户从未签到

发表于 2022-8-24 14:13 手机版 | 显示全部楼层
医者仁心,命不该绝
荣耀渭南网---每天我们都在影响这座城市!

签到天数: 120 天

[LV.7]常住居民III

发表于 2022-8-24 14:55 手机版 | 显示全部楼层
点赞点赞,给你们点赞
荣耀渭南网---每天我们都在影响这座城市!

使用高级回帖 (可批量传图、插入视频等)快速回复

您需要登录后才可以回帖 登录 | 立即注册 |

本版积分规则   Ctrl + Enter 快速发布  

发帖时请遵守我国法律,网站会将有关你发帖内容、时间以及发帖IP地址等记录保留,只要接到合法请求,即会将信息提供给有关政府机构。
返回顶部快速回复返回列表找客服
快速回复 返回顶部 返回列表