[渭南市第一医院] 刻不容缓| 渭南市第一医院抢救脑出血患者的生死时速!

  [复制链接]

该用户从未签到

分享到:
发表于 2023-5-31 09:16 | 显示全部楼层 |阅读模式

马上注册荣耀渭南网,结交渭南乡党,享用更多功能,让你轻松玩转荣耀网

您需要 登录 才可以下载或查看,没有账号?立即注册

x

据相关数据统计,我国每年每10万人中就有12—15%的人群发生脑出血,且常发生于50岁以上的患者。

前段时间,渭南市第一医院神经外科就接收了一名急诊脑出血患者,那现场可谓争分夺秒与死神赛跑...

2023年5月22日早上10:20,神经外科医生打来电话“喂,手术室吗,现在有一例脑出血病人情况危机,需立即手术,请尽快准备!

10:30患者入室,查阅病历:患者68岁,晨起跑步时无明显诱因突感恶心,呕吐,呕吐物为黄色胃内容物约100毫升

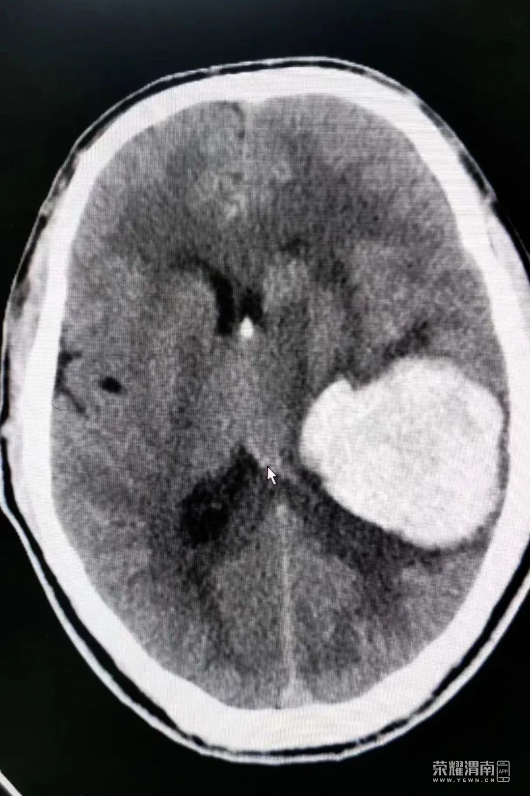
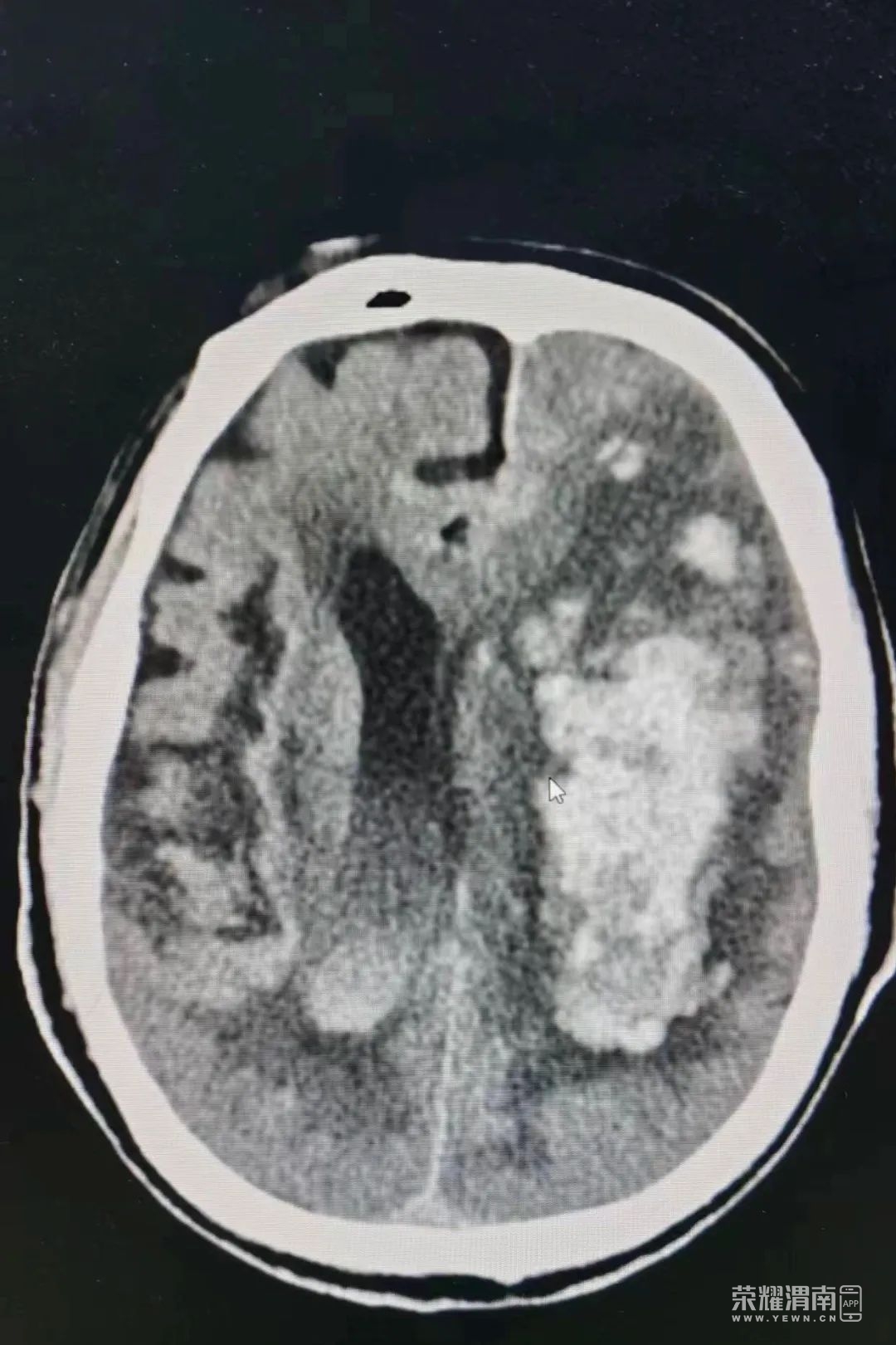
即出现言语不清,意识丧失,无胸闷气短,无腹胀腹痛。头颅CT显示:右侧基底节区脑出血(约50毫升)诊断为脑出血,患者两侧瞳孔已出现不等大,昏迷状态。情况十分危急。

091436o1rreavpeaeparnj.jpeg

神经外科主任田昵军根据患者情况立即制定紧急手术方案,迅速安排手术相关事宜,争分夺秒抢救患者生命。
手术室立即启动危急重症抢救预警,由王平均主任和郭姣护士长现场指挥。
091436ydx7vd5ga7u8v5iv.jpeg
李兵、卫勇和张顺清麻醉医生联合麻醉,巡回护士郭素娜和器械护士郗萌负责手术台上台下配合。一切事宜都在井然有序进行,手术台上田昵军主任及李嘉兴医生在最短的时间内进行"开颅血肿清除十去骨辩减压术"。
091436xk72ok7x4zj43n9v.jpeg
091437oeydk3a0e75ndkj7.jpeg
091437i660t6qxzwtt7q62.jpeg
091437yz63gyxhxiz6gvxo.jpeg
14:30手术结束,患者顺利拔管,生命体征较前平稳,呼之可做回应,预备送回病房继续观察。

091438govo677do761wwg6.jpeg

就在这时,中控接到通知:又有一位脑出血患者,情况危机,需立即行开颅手术!
听到这个消息,手术间内所有人员刚刚放松下来的心情又立刻紧张起来。大家统筹协作,快速准备,历时4小时,手术结束,拔管苏醒,患者安返病房!
091438ltizhlp5u8knaiia.jpeg
091438tuncvj8avcnn42vl.jpeg
行有道,爱无疆。危急关头,时间就是生命,此次病例的救治过程标志了渭南市第一医院手术麻醉科与神经外科诊治水平的再一次提升!


导致脑出血的原因有哪些呢?

01

高血压

高血压是脑出血最重要的病因及危险因素。在长期高血压的影响下,脑内小血管管壁发生玻璃样变从而导致血管壁薄弱,当血压骤然升高时容易破裂而导致脑出血。

091438kdbdgbgayscgtyth.jpeg

02

情绪激动

情绪激动是脑出血的又一重要诱因。因生气、情绪激动导致心跳加快、血压突然升高所致。

091439a4vmo3hmo3r8uw9h.jpeg

03

酗酒

饮酒是引起脑出血的另一危险因素。尤其酗酒,可引起血压增高或凝血机制改变和脑血流加速而促发脑出血。许多人往往并不是酗酒,就是逢年过节或遇高兴事,比平时多饮一些,可能就此危及性命或留下终身残疾。

04

腹压增高

腹压过度增高可引发脑出血。发生在卫生间的病人,多是由于腹压过度增高所引起的。尤其是有高血压病伴便秘者,排便时过度屏气使腹压骤然增高而引发脑出血。

091439calz7tad979etlqe.jpeg

05

吸烟

长期吸烟可促发动脉硬化,使血管脆性增加。在特殊情况下,大量吸烟可引起心血管和神经等系统的变化,从而引发脑出血。

06

洗热水澡

洗热水澡引起脑出血,也是常发生在卫生间的事,可能由于洗热水澡时,血管扩张、脑血流加速所致。

07

气候变化

冬秋季好发。这是因为冬天天气冷、血管收缩、血压上升,而夏季天气转热、血管扩张、血压下降的缘故。但是夏季中暑,出汗增多也会促发脑出血。



脑出血爆发起来是非常凶险的,症状突发,多在活动中起病,常表现为头痛、恶心、呕吐、不同程度的意识障碍及肢体瘫痪等。一旦发现身边有人发生了脑出血,保持呼吸通畅是要点,紧急呼救是重点。对所有患者来说,“时间就是生机”,随着脑出血、缺氧的时间越长,脑坏死的面积就越大,一旦发生,应及时送往有能力救治的医院是关键。


预防脑出血的7大举措



1

已有高血压的人群,一定要按时服药,定期监测。

091439ux4kksf6xsp1k960.jpeg

2

注意劳逸结合,合理安排工作,保证足够睡眠,避免过度劳累,形成良好的运动习惯。


3

饮食以清淡为宜,少食动物脂肪或胆固醇含量高的食物,可多吃水果、蔬菜和鱼类等。

091440x96v849m9787k9v9.jpeg

4

严禁吸烟酗酒,烟能加速动脉硬化的发展,对高血压更有害,并能引起血管痉挛。

091440lq9zor9qoc5oz7wj.jpeg

5

保持大便畅通,避免过度用力排便,多吃蔬菜、水果,多喝水,软化粪便,以免血压突然增高。

091440pnzvxhvxzpezmbb2.jpeg

6

注意季节变化,防寒避暑,适当增减衣物,高温对机体有一定影响,避免使血管舒缩功能发生障碍,血压波动幅度加剧而发生意外。


7

蹲下、弯腰及卧床、起身或改变体位时,动作必须缓慢,可用头低位及眼睛向下方式渐渐起身,切勿突然改变体位,防止发生意外。




荣耀渭南网---每天我们都在影响这座城市!
bxf

该用户从未签到

发表于 2023-5-31 09:29 手机版 | 显示全部楼层
不错不错,继续努力
荣耀渭南网---每天我们都在影响这座城市!

该用户从未签到

发表于 2023-5-31 09:49 手机版 | 显示全部楼层
不错不错,继续努力。
荣耀渭南网---每天我们都在影响这座城市!

该用户从未签到

发表于 2023-5-31 10:03 手机版 | 显示全部楼层
脑出血太恐怖,改变一家人的命运
荣耀渭南网---每天我们都在影响这座城市!

该用户从未签到

发表于 2023-5-31 10:50 手机版 | 显示全部楼层
脑出血救治及时
荣耀渭南网---每天我们都在影响这座城市!

该用户从未签到

发表于 2023-5-31 10:51 手机版 | 显示全部楼层
医生及时救治改变了一家人的命运
荣耀渭南网---每天我们都在影响这座城市!

签到天数: 993 天

[LV.10]以坛为家III

发表于 2023-5-31 12:19 手机版 | 显示全部楼层
医生及时救治改变了一家人的命运
荣耀渭南网---每天我们都在影响这座城市!

签到天数: 993 天

[LV.10]以坛为家III

发表于 2023-5-31 12:32 手机版 | 显示全部楼层
脑出血太恐怖,改变一家人的命运
荣耀渭南网---每天我们都在影响这座城市!

签到天数: 685 天

[LV.9]以坛为家II

发表于 2023-5-31 12:48 手机版 | 显示全部楼层
三马路医院水平提高了
荣耀渭南网---每天我们都在影响这座城市!

该用户从未签到

发表于 2023-5-31 13:58 手机版 | 显示全部楼层
荣耀渭南网---每天我们都在影响这座城市!

使用高级回帖 (可批量传图、插入视频等)快速回复

您需要登录后才可以回帖 登录 | 立即注册

本版积分规则   Ctrl + Enter 快速发布  

发帖时请遵守我国法律,网站会将有关你发帖内容、时间以及发帖IP地址等记录保留,只要接到合法请求,即会将信息提供给有关政府机构。
返回顶部快速回复返回列表找客服
快速回复 返回顶部 返回列表