[生活资讯] 11岁女孩遭同学针扎入骨:用石头敲针往里钉(图)

[复制链接]

该用户从未签到

分享到:
发表于 2016-2-20 00:30 | 显示全部楼层 |阅读模式

马上注册荣耀渭南网,结交渭南乡党,享用更多功能,让你轻松玩转荣耀网

您需要 登录 才可以下载或查看,没有账号?立即注册 |

x

11岁女孩遭同学针扎入骨:用石头敲针往里钉(图)

11岁女孩遭同学针扎入骨:用石头敲针往里钉(图)


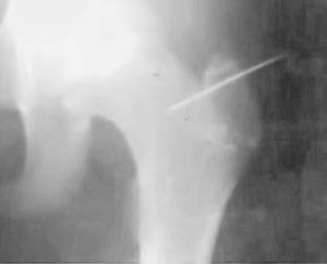
缝衣针大部分已经刺入莉莉的腿骨内,手术难以取出。

只因同学间闹点小矛盾,保定市清苑区11岁女孩莉莉(化名),被同班同学用缝衣针扎几十次,还有两根缝衣针被扎入了体内。18日记者从莉莉的家人处了解到,经过手术后已经取出了莉莉体内的一根缝衣针,但另一根大部分刺入骨内,且位置特殊,因为手术风险极大无法取出,只能留在莉莉的体内。

同桌施暴缝衣针入骨

据莉莉的家人介绍,他们是保定市清苑区魏村镇齐贤庄村人。莉莉今年11岁,在齐贤庄小学上五年级。2015年12月30日中午时分,家人发现莉莉放学回家后一直偷偷抹泪,情绪十分异常。起初莉莉只是说自己腿被针扎了,在家人几次开导询问后,她才说出了事情经过:当天上午大课间时,老师和班上其他同学们都离开了教室,同桌明明(化名)却拽住了她,随后手持缝衣针向她腿上乱扎,还用一块小石头把缝衣针使劲往里钉。明明还威胁说,如果莉莉敢把这件事告诉别人,以后还会更狠地打她。

家人了解事情后大吃一惊,赶紧将莉莉送往保定市第二医院。当晚,医院为莉莉做了手术,从其腿部取出一根缝衣针。之后医生在莉莉大腿上又发现一片红针眼,通过触摸检查,明显感觉有异物存在。经X光透视检查,果然发现莉莉的大腿骨接近顶端位置,还有一根缝衣针插在上面,而且缝衣针三分之二的部分已经插入了腿骨里面。由于这根缝衣针刺入的腿骨部位特殊,医院邀请北京的专家诊断后认为,如果给莉莉实施手术取针,极可能造成莉莉腿骨不再生长发育,也就意味着莉莉会落下终生残疾。但如果让这根缝衣针留在莉莉体内,时间一长后可能会因感染患上骨髓炎,危及其生命。莉莉家人一时间陷入两难境地,又尝试到保定市多家大医院进行诊治,但都得到了一样的结果。无奈之下,只能让莉莉先出院回家静养。

被扎多次都默默忍了

如今事情过去一个多月了,但留在莉莉体内的那根缝衣针,仍然让这个无辜的女孩时时遭受着身体和心灵上的双重痛苦。莉莉的父亲杨先生介绍说,女儿现在不但走路一瘸一拐,走不了多远就得停下休息,精神也变得萎靡不振。作为父亲,他都不知道怎么面对女儿的未来。杨先生说,明明家在外地开着塑料颗粒加工厂,经济条件优越。其父母平时都不在家,明明由其奶奶照看,是个很顽皮的孩子。此前,明明就曾用缝衣针扎过莉莉两三次了,但老实胆小的莉莉没敢告诉老师和家人。甚至最后一次两根缝衣针扎入了体内,刺入了骨头,实在疼得受不了,也只是偷偷抹泪。

杨先生说,明明的家人在支付了莉莉首次住院手术费用后,就再也不愿意出钱看病,如今更是连他的电话都不接了。去找学校交涉,学校只让他去找明明家长协商。他实在搞不懂,一个才11岁的男孩会有什么样的内心,让他如此残暴凶狠,对同学下如此毒手。而这种事情多次发生在教室里,学校老师竟会毫不知情。

保定市清苑区齐贤庄小学的郝校长表示,确有莉莉在教室内被同学用缝衣针扎入骨头的事情。因双方家长达不成一致协议,他们已经将此事上报给上级主管部门。


荣耀渭南网---每天我们都在影响这座城市!

签到天数: 595 天

[LV.9]以坛为家II

发表于 2016-2-20 07:54 | 显示全部楼层
荣耀渭南网---每天我们都在影响这座城市!

签到天数: 393 天

[LV.9]以坛为家II

发表于 2016-2-20 13:25 | 显示全部楼层
估计是琼瑶电视剧看多了
荣耀渭南网---每天我们都在影响这座城市!

使用高级回帖 (可批量传图、插入视频等)快速回复

您需要登录后才可以回帖 登录 | 立即注册 |

本版积分规则   Ctrl + Enter 快速发布  

发帖时请遵守我国法律,网站会将有关你发帖内容、时间以及发帖IP地址等记录保留,只要接到合法请求,即会将信息提供给有关政府机构。
返回顶部快速回复返回列表找客服
快速回复 返回顶部 返回列表